マップ
ご予約・お問合せ
CALL
ご予約・お問合せ
スタッフ募集中
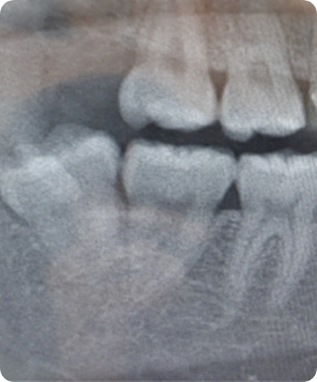
口腔外科
ORAL SURGERY
複雑な生え方をしている親知らずは口腔外科で
親知らずは一番奥の歯(前歯から数えて8番目の歯【智歯(ちし)】とも呼ばれる歯)で お手入れが難しく、虫歯になりやすい歯です。また歯並びによっては横や斜めに生えてきたり、 骨の中に埋まったまま生えてこない場合もあり、将来的に炎症、痛みが発生することもあります。 そのため、親知らずの抜歯はとても大切な治療と言えます。親知らずの抜歯は一般歯科で対応が難しい場合、 総合病院などの大きな病院の口腔外科専門医が治療にあたります。 当院では一般歯科で対応が難しい場合でも、口腔外科専門の歯科医師が所属していることから連携がとりやすく、 他の医院に比べ、親身な対応が可能です。お困りの方は是非一度ご相談ください。
病院紹介
ABOUT US
診療案内
INFORMATION
訪問診療
HOME CARE
料金一覧
PRICE LIST
アクセス
ACCESS
お知らせ
NEWS
求人情報
RECRUIT
Instagram
INSTAGRAM
X
X